본문 바로가기

임상증례

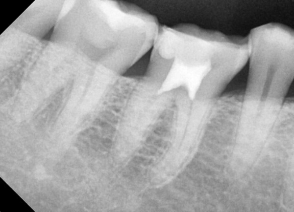
충치치료&신경치료 하루에 끝나는 신경치료

페이지 정보

댓글0건 조회 758회 작성일26-01-02 08:58

본문

60bab75a1a70db4a6fd0ef2b4df1f9ae_1767344664_5957.jpg
60bab75a1a70db4a6fd0ef2b4df1f9ae_1767344664_5778.jpg
 



aa83206a7806dda7923c1af565c0c8ca_1767311913_3884.jpg
 

댓글목록

등록된 댓글이 없습니다.