본문 바로가기
의료진소개
치과소개
특별함
임상증례
둘러보기
진료시간/오시는 길
임상증례
임상증례
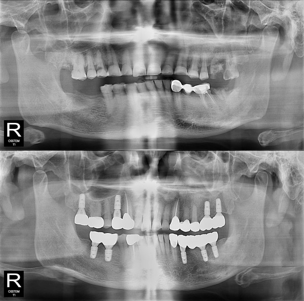
임플란트
부분 임플란트
페이지 정보
댓글
0건
조회
844회
작성일
25-11-28 16:45
본문
검색
목록
COMMENTS
댓글목록
등록된 댓글이 없습니다.
QUICK MENU
네이버 예약
블로그
카카오 상담
오시는 길
TOP