본문 바로가기

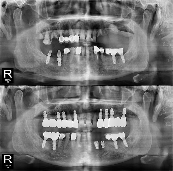
임상증례

임플란트 뼈이식 + 임플란트

페이지 정보

댓글0건 조회 900회 작성일25-11-28 16:44

본문

91f3d52868034cf4520f0b423e18d113_1768804752_8883.png

 


91f3d52868034cf4520f0b423e18d113_1768804730_1094.png 


댓글목록

등록된 댓글이 없습니다.