본문 바로가기
의료진소개
치과소개
특별함
임상증례
둘러보기
진료시간/오시는 길
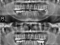
임상증례
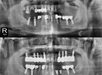
임상증례
임플란트
전체
임플란트
심미보철
틀니
사랑니발치
충치치료&신경치료
12
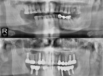
임플란트
뼈이식 + 임플란트
조회
831
작성일
26-01-08
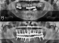
11
임플란트
뼈이식 + 임플란트
조회
793
작성일
26-01-08
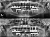
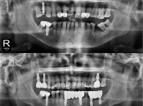
10
임플란트
뼈이식 + 임플란트
조회
897
작성일
26-01-08
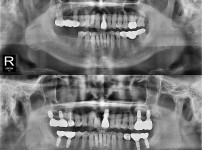
9
임플란트
뼈이식 + 임플란트
조회
817
작성일
25-12-19
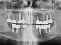
8
임플란트
전악 임플란트
조회
900
작성일
25-12-04
7
임플란트
전악 임플란트
조회
877
작성일
25-11-29
6
임플란트
전악 임플란트
조회
874
작성일
25-11-28
5
임플란트
부분 임플란트
조회
894
작성일
25-11-28
4
임플란트
부분 임플란트
조회
852
작성일
25-11-28
3
임플란트
부분 임플란트
조회
847
작성일
25-11-28
2
임플란트
부분 임플란트
조회
844
작성일
25-11-28
1
임플란트
뼈이식 + 임플란트
조회
900
작성일
25-11-28
목록
게시물 검색
검색대상
제목
내용
제목+내용
회원아이디
회원아이디(코)
글쓴이
글쓴이(코)
검색어
필수
검색
QUICK MENU
네이버 예약
블로그
카카오 상담
오시는 길
TOP