본문 바로가기

임상증례

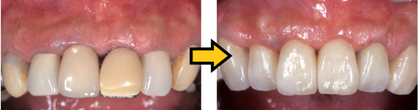
심미보철 앞니 크라운

페이지 정보

댓글0건 조회 702회 작성일26-01-19 00:08

본문

5a26f78ea9aa865fd734ae52502121e9_1768748841_8079.png



5a26f78ea9aa865fd734ae52502121e9_1768748896_8766.png
 

댓글목록

등록된 댓글이 없습니다.