본문 바로가기

임상증례

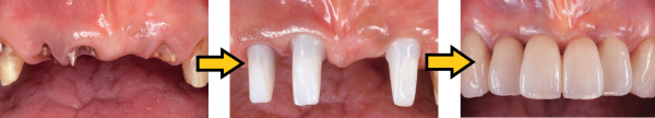
심미보철 앞니 임플란트

페이지 정보

댓글0건 조회 740회 작성일26-01-17 23:51

본문

5a26f78ea9aa865fd734ae52502121e9_1768747121_8055.png 


5a26f78ea9aa865fd734ae52502121e9_1768747672_4183.png
 

댓글목록

등록된 댓글이 없습니다.