본문 바로가기

임상증례

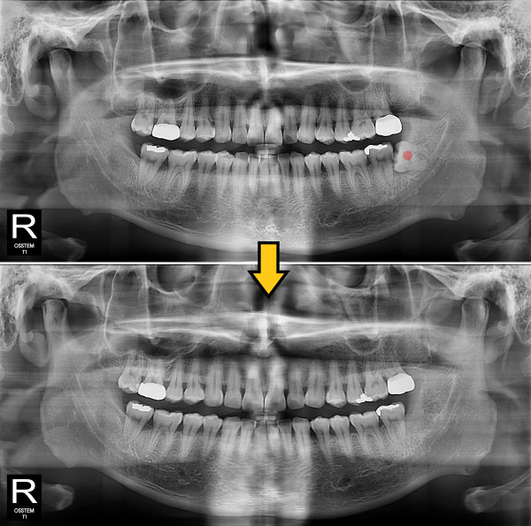
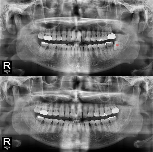
사랑니발치 완전 매복 사랑니

페이지 정보

댓글0건 조회 921회 작성일25-11-28 17:49

본문

ae27575af29d49719312fde5a1f0cca6_1764402576_9324.jpg



826e40416d712e6cd444a78bde93df4b_1767858140_0429.jpg
 

댓글목록

등록된 댓글이 없습니다.