본문 바로가기

팝업레이어 알림

1ea2eefce849d46504c674a7d88e6d03_1776017250_1907.jpg

INTERNATIONAL MORE

서울대 치의학대학원 출신 통합치의학과 전문의
1:1 책임진료

국제모아치과는
대표원장이 처음부터 끝까지 직접 진료하며, 환자 한 분 한 분께 진심이 닿는 진료를 약속드립니다.

INTERNATIONAL MORE

마취에 진심인 치과 통증을 줄이는
편안한 진료

환자분들이 마취 할 때부터 아프시지 않도록 섬세한 마취 그리고 편안한 진료를 제공합니다.

INTERNATIONAL MORE

언어의 경계를 넘어 중국어 진료가 가능한
글로벌치과

원내 중국어 통역 직원이 상주하고 있어 외국인 환자도 소통에 불편함 없이
진료 받으실 수 있습니다.

처음부터 끝까지 책임지는

의료진 소개

이영범 대표원장

이영범 대표원장

  • 서울대 치과대학 졸업
  • 서울대 치의학대학원 졸업
  • 보건복지부 인증 통합치의학 전문의
  • 토론토대학교 졸업
  • 오스템 master course 수료
  • 제 5회 미니쉬 아카데미 수료

" 대표원장이 처음부터 끝까지 직접 진료하는 책임 진담 시스템으로 환자 한 분 한 분의 구강 상태를 세심하게 관리합니다. "

국제모아치과 진료철학

Simple is the Best

  • 💉

    통증 완화
    기술력

  • 🦷

    정밀한 진단
    효율적인 치료

  • 👨‍⚕️

    과잉진료 X
    환자중심치료

국제모아치과는
'안 아프게 마취하고, 안 아프게 치료하는 것'
진심입니다.
복잡한 상황도 단순하게 풀어내어
환자에게 꼭 필요한 진료만 제공합니다.

신뢰로 완성되는 진료 시스템

왜 국제모아치과가 특별한가요?

국제모아치과는 모든 진료의 출발점을 '환자의 편안함'에 둡니다.

  • 01

    서울대 치의학 대학원 출신 치과전문의 1:1 책임진료

    서울대 치의학 대학원 출신 치과전문의가 치료 시작부터 끝까지 책임진료합니다.

  • 02

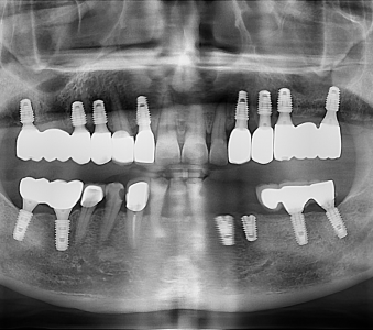
    오스템 임플란트 프리미엄 BA 등급 사용

    같은 오스템이라도 등급이 다릅니다. 더 빠른 골유착을 위해 프리미엄 등급을 사용합니다.

  • 03

    정확성 높은 치료의 시작 디지털 정밀진단 시스템

    3D 디지털 데이터 기반으로 정확성 높고 정교한 치료가 가능합니다.

  • 04

    전 과목을 한 곳에서! 통합치의학과 전문의 통합진료

    통합치의학과 전문의가 상주하여 임플란트·교정·보철·심미·충치·소아치료 등 전 과목을 한 곳에서 통합적인 진료가 가능합니다.

  • 05

    언어의 장벽을 넘어 중국어 진료 가능

    중국어 통역 직원이 상주하여 원활한 상담과 편안한 진료를 제공합니다.

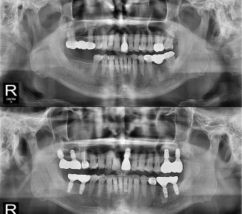
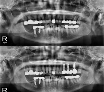
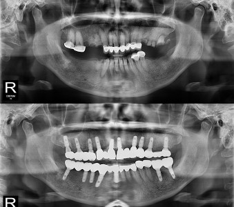
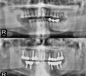
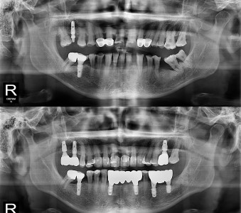
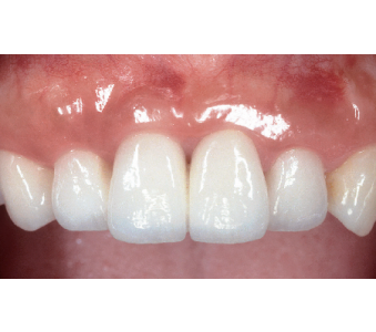
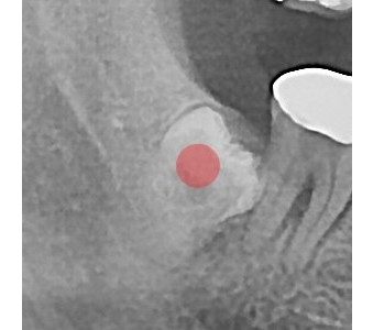
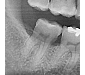
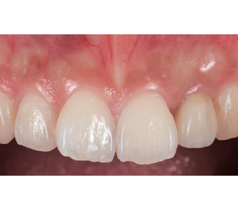
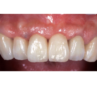
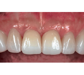
결과로 증명합니다.

국제모아치과의
실제 임상 증례

임상증례더보기
임상증례더보기
  • 게시물이 없습니다.
임상증례더보기
임상증례더보기
임상증례더보기

INTERNATIONAL MORE

둘러보기

대림역 바로 앞!

오시는길 / 진료시간

서울시 영등포구 도림로 157 대림역 10번출구 다이소 건물 7층 위치

전화상담

02-832-8886

상담 및 예약

진료시간

  • 평         일 오전 09:00 ~ 오후 06:00
  • 목   요   일 오전 09:00 ~ 오후 08:00
  • 토   요   일 오전 09:00 ~ 오후 01:00
  • 점 심 시 간 오후 12:30 ~ 오후 02:00

※ 토요일은 점심시간 없이 진료합니다.
※ 일요일 및 공휴일은 휴진입니다.